Accelerate Stroke Care
AI-powered portable MRI is another way to BE FAST in stroke care—because time lost is brain lost.
A Portfolio of Sequences to Meet a Variety of Clinical Needs
9:40 minutes | Axi, Cor, Sag
10:00 minutes
6:00 minutes

Quick scanning when every minute counts
Fast DWI sequence reduces scan time by 4 minutes (relative to standard DWI).

A tissue clock for identifying treatable strokes
For wake-up strokes or unknown onset, DWI-FLAIR mismatch can serve as a tissue-based marker to help determine stroke age—critical for guiding treatment decisions.
How the Swoop System Accelerates Stroke Care
Faster
Stroke
Detection
Supports rapid assessment without the delays and risks associated with conventional MRI scheduling and transfer1.
Accelerated
Treatment
Decisions
Provides crucial information to help inform quicker triage, treatment planning, downgrade, and discharge decisions.
Streamlined
Follow-up
Imaging
Enables post-intervention assessments and repeated imaging for monitoring at the point of care.
Fast, Confident Stroke Detection
60–90 min
Portable MRI Workflow
Compared to 24 hours for a conventional MRI workflow2
2.8 mm
Lesion Detection
Detected strokes as small as 2.8 mm (0.15 mL)3,*
100%
Accurate Differentiation
Accuracy in differentiating stroke from stroke mimics3,†
ANSWERS WHEN AND WHERE YOU NEED THEM
-
Emergency Departments
-
Stroke Units
-
ICUs
-
Outpatient neurology clinics
-
Operating rooms or angiography suites
Case Studies
Stroke Detection at the Point of Care
These patients presented to emergency departments with stroke symptoms. Swoop system images enabled rapid bedside assessments, eliminating transportation delays to conventional MRI and allowing rapid triage to stoke units where the patients received the care they needed.
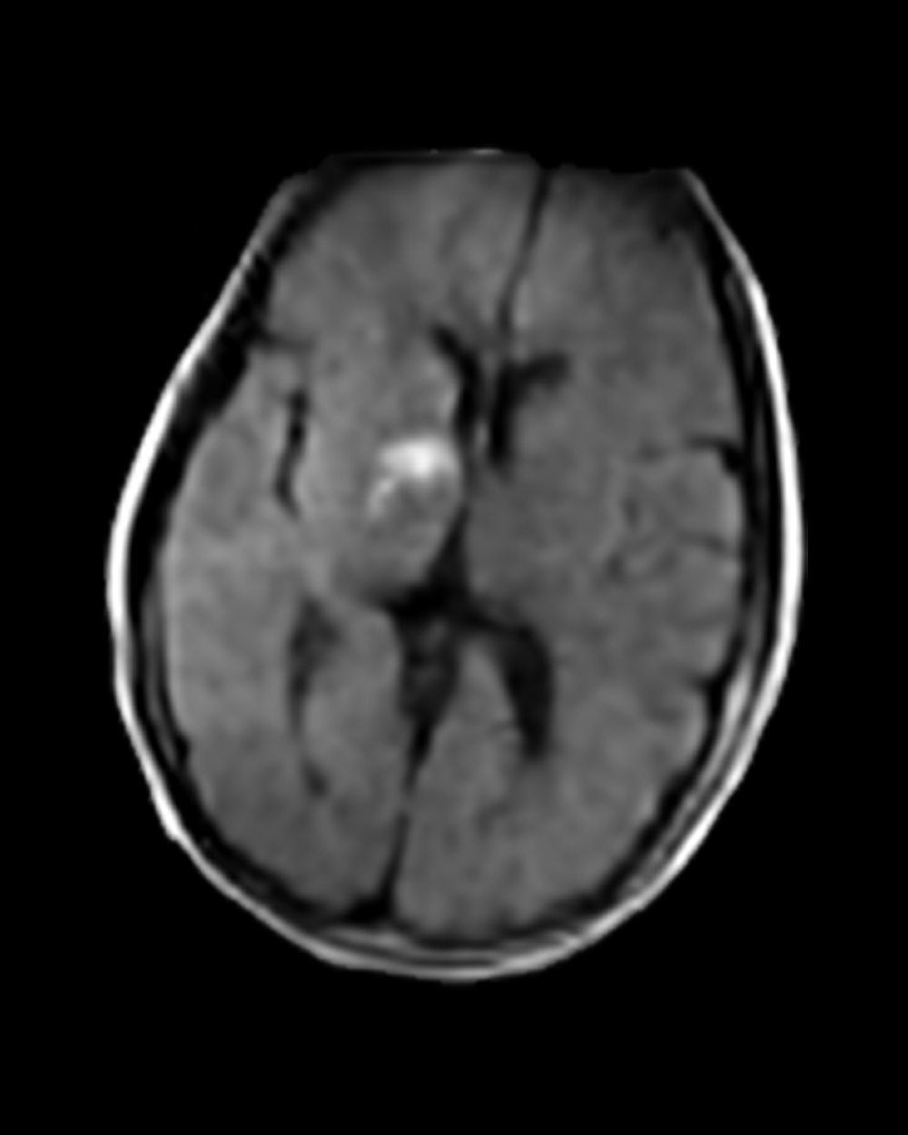
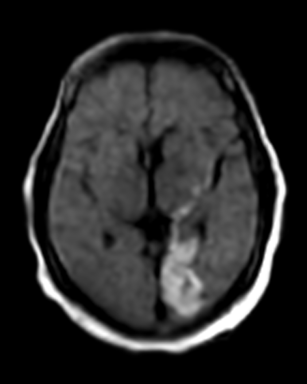
Right Anterior Choroidal Infarct
Patient Profile
63-year-old patient with a history of diabetes and hypertension. Presented to the ED with acute-onset left-sided weakness and sensory disturbance involving the face and extremities.
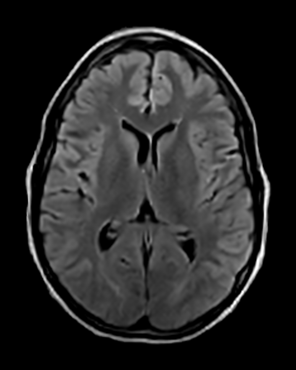
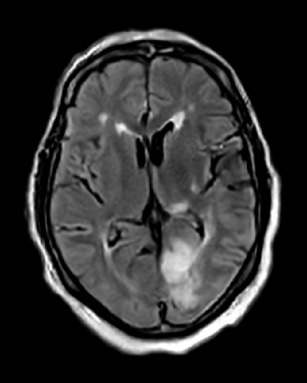
Left Posterior Cerebral Infarct
Patient Profile
72-year-old patient presented to the ED with acute-onset visual disturbance and right-sided weakness.
Portable MRI
The Swoop system was driven to the patient’s bedside and ready to scan within minutes
Stroke Detected
Swoop system images allowed clinicians to confirm infarcts
Triage
Patients were triaged to stroke units for management and monitoring
“The Swoop system has transformed how we manage stroke care. Having MRI at the bedside means we can make faster, more confident decisions and keep patients moving through the right pathway. It’s a game-changer for patient flow and outcomes.”
Jennifer Burwell
RN, MSN, BA, ASC-BC
Comprehensive Stroke Program Manager at CHRISTUS Trinity Mother Frances Health System